
El parásito Cryptosporidium es uno de los más comunes transmitidos a través del agua en los paises desarrollados. Destaca por afectar principalmente a niños y puede prevenirse con un tratamiento adecuado de las aguas de consumo y de recreo, en combinación con una correcta higiene personal. Según los últimos datos epidemiológicos, España registró 582 infecciones por Cryptosporidium durante 2015 en 7 Comunidades Autónomas.
Cryptosporidium, un parásito con recursos
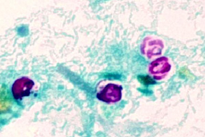
Cryptosporidium es un protozoo parásito que infecta las células epiteliales del tracto digestivo de animales vertebrados, incluido el hombre, para poder sobrevivir.
Dentro de su ciclo vital en el huésped, el parásito adopta la forma de ooquistes esféricos, que pueden tener la pared gruesa o delgada. Los últimos se desarrollan e inician un nuevo ciclo de vida en el interior del anfitrión provocando la infección por cryptosporidiosis, mientras que los que están protegidos por la pared gruesa son excretados con las heces. De este modo, Cryptosporidium se expande a nuevos anfitriones por via fecal-oral.
La Criptosporidiosis produce fiebre, dolores intestinales y diarrea. No existe un tratamiento específico para esta infección, que en personas con problemas immunológicos o pacientes de corta o avanzada edad puede llegar a ser grave.
Los ooquistes excretados son muy resistentes a condiciones ambientales adversas y a la mayoría de desinfectantes y antisépticos, pudiendo sobrevivir durante meses, hasta que son ingeridos por un nuevo anfitrión. ¿Cómo sucede esto? Por contacto directo o indirecto con las heces infectadas: ya sea por contacto entre personas, animales o alimentos contaminados, como por contacto con aguas recreacionales, aguas de piscinas o aguas de consumo en las que estén presentes los ooquistes.
La capacidad de infección de los diminutos ooquistes en el ambiente permanece muy alta y la ingestión de tan sólo un ooquiste tiene probabilidades de convertirse en una infección.
Una vez que son ingeridos, los ooquistes se instalan en el intestino delgado del nuevo anfitrión donde, estimulados por la temperatura del cuerpo y las sustancias presentes en el tracto digestivo, su gruesa pared se abre y libera los cuatro esporozoitos móviles que alberga en su interior. Estos se encargan entonces de infectar las células epiteliales del intestino delgado, principalmente en el yeyuno y el íleon, y de reproducirse creando nuevos ooquistes.
Prevalencia de la criptosporidiosis en España
Cryptosporidium es, entre los microorganismos causantes de infecciones gastrointestinales en España, el que mantiene, en los últimos años y en general, un menor número de casos registrados, en comparación con Campylobacter, la Salmonella o los rotavirus.
No obstante, dentro de los patógenos transmitidos por el agua genera una preocupación significativa y se considera un microorganismo clave de referencia, a tener en cuenta en los procesos de tratamiento del agua potable y de consumo.

Los últimos datos epidemiólogicos publicados por la Red Nacional de Vigilancia Epidemiológica del Instituto de Salud Carlos III, referentes a 2015, muestran un total de 582 infecciones registradas por Cryptosporidium durante ese año. Los datos recogidos procedieron de 18 laboratorios de 7 Comunidades Autónomas.

La Criptosporidiosis afecta, en paises desarrollados, principalmente a niños menores de 10 años. Y España no es una excepción. La siguiente gráfica con datos de 2015 muestra una prevalencia mucho mayor en los grupos poblacionales de 1-4 y 5-9 años. Se estima que el 7% de los niños habitantes de países industrializados que sufren de diarrea padecen Criptosporidiosis.
Las siete Comunidades Autónomas que informaron de los casos de criptosporidiosis registrados fueron Aragón, Canarias, Castilla y León, Extremadura, Navarra, Pais Vasco y La Rioja. Las CCAA que más casos registraron fueron País Vasco y La Rioja.

Finalmente, la enfermedad presenta un patrón estacional, con un pico de casos registrados en los meses de verano. En el caso de los brotes de criptosporidiosis asociados al agua, un mayor número de casos en verano podría asociarse con el mayor contacto con aguas recreacionales o piscinas con agua contaminada.

La transmisión por el agua
Varias características de Cryptosporidium facilitan su transmisión por el agua. Una de ellas es su resistencia extrema a la desinfección química.
Los desinfectantes convencionales como el cloro y la cloramina tienen muy poco o ningún efecto sobre la infectividad de Cryptosporidium. El tratamiento con dióxido de cloro puede resultar en inactivación, pero la concentración de producto y el tiempo de contacto requeridos son altos, especialmente a bajas temperaturas.
Asimismo, el ozono es el oxidante más potente, pero el nivel de inactivación que se puede alcanzar en el agua potable es muy limitado a bajas temperaturas.
A la resistencia del patógeno, se añade la dificultad de que los desinfectantes químicos no se pueden dosificar a altas concentraciones, debido a la formación de subproductos tóxicos(trihalometanos, nitrito, clorito o bromato) que se crean al reaccionar los desinfectantes con los compuestos orgánicos presentes en el agua.
Un plan B efectivo para inactivar a Cryptosporidium es el tratamiento con luz ultravioleta, capaz de originar daños en el ADN del parásito. La luz ultravioleta se considera un desinfectante en la industria del agua apto para inactivar Cryptosporidium en un 99.99% con dosis relativamente bajas.
Y finalmente, los procesos de filtración con barreras importantes para eliminar el parásito durante el tratamiento del agua. Las tecnologías convencionales, directas, de arena y de tierra de diatomeas pueden eliminar el 99% de Cryptosporidium.
Fuentes:
INFORME ANUAL DEL SISTEMA DE INFORMACIÓN MICROBIOLÓGICA 2015, Instituto de Salud Carlos III,
Risk assessment of Cryptosporidium in drinking water, OMS
Imagen: CDC








