El Correo Gallego publicaba el día 17 de octubre una historia humana desgarradora, de esas a las que habitualmente no se presta demasiada atención pero que finalmente son las que cuentan porque el objetivo final de los especialistas en calidad ambiental del aire es que las personas vivan de un modo confortable.
La historia de la que hablamos es la de José Luís Castro Beceiro, un gallego que ha repartido su vida laboral entre astilleros, caldererías y parques de bomberos. La peor parte fue la de calderería, donde se trabajaba en contacto continuo con amianto y sin ningún tipo de protección. El resultado de ello es que ahora se ve obligado a vivir con una máscara de oxígeno cerca a riesgo de ahogarse. El diagnóstico fue claro: asbestosis.
La historia completa de José Luís se puede leer en el artículo mencionado: José Luis Castro Beceiro: Duermo siempre con máscara de oxígeno por culpa del amianto (en pdf).
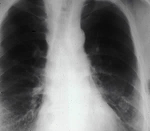
La asbestosis es una enfermedad que se produce a fuerza de inhalar fibras de amianto. El aire contaminado llega hasta los alvéolos del pulmón, donde queda retenido y termina produciendo rigidez en el pulmón e inutilizando las partes rígidas. Este proceso se denomina fibrosis, y la fibrosis pulmonar progresiva producida por el amianto recibe el nombre de asbestosis.
Más información sobre la asbestosis en la página del Health and Safety Executive del gobierno británico.

Pulmones afectados de asbestosis
Artículos relacionados:
- El amianto mata
- Peligro del polvo de amianto
- Acciones relativas a las enfermedades por amianto
- Desamiantado: una actividad con responsabilidad social
Fotografía pulmones: Agency for Toxic Substances and Disease Registry.





